Антелистез – это смещение вперёд одного или нескольких позвонков относительно нижерасположенного позвонка, что является наиболее частым вариантом смещения позвонков (общее название таких смещений – спондилолистез). Это может произойти в любом отделе позвоночника. Чаще страдает поясничный отдел, в шейном отделе заболевание встречается реже (не более чем у 5 % населения).

Основные причины антелистеза:
- врождённые патологии позвоночника;
- перенесённые травмы шеи и спины;
- осложнения после операций на позвоночнике;
- серьёзные физические нагрузки или длительное нахождение в неподвижном положении (например, на сидячей работе);
- переохлаждение и некоторые воспалительные процессы, опухоли;
- дегенеративные изменения позвонков с возрастом (в среднем после 40 лет, сильнее подвержены женщины из-за большей слабости связочного аппарата по сравнению с мужчинами).
Выделяют четыре степени антелистеза в зависимости от выраженности смещения позвонка:
- I – смещение тела позвонка менее 25 % его длины;
- II – смещение от 25 до 50 %;
- III – смещение от 50 до 75 %;
- IV – смещение от 75 до 100 %.
Некоторые специалисты выделяют также пятую, или терминальную, степень смещения, при которой происходит полное смещение и выпадение позвонка.
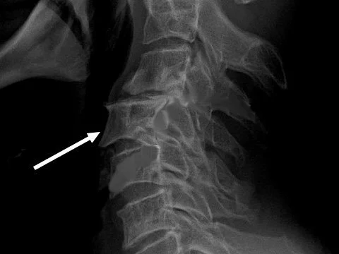
Как правило, антелистез развивается на фоне сопутствующих заболеваний опорно-двигательной системы, например, сколиоза или остеохондроза. Диагноз ставится на основании рентгенографического обследования, в редких случаях дополнительно требуется МРТ (магнитно-резонансная томография) или КТ (компьютерная томография).
Симптомы антелистеза шейного отдела
На начальном этапе своего развития заболевание никак себя не проявляет. Человек обращается к врачу, когда патологический процесс в самом разгаре, при этом обычно жалуется на:
- долго не проходящие боли, усиливающиеся при смене положения или физических нагрузках;
- ухудшение работоспособности вплоть до полной её потери;
- снижение чувствительности рук и ограничение их подвижности.
Это общие симптомы антелистеза шейного отдела, но, в зависимости от того, какой позвонок смещён, симптоматика достаточно разнообразна. Нередко пациент даже не связывает имеющиеся у него неврологические нарушения или, например, хронические заболевания ЛОР-органов, с проблемами в шее.
Через шейный отдел позвоночника проходят кровеносные сосуды, обеспечивающие питание головного мозга, а также спинной мозг и нервы, благодаря которым поддерживается слаженная работа всех органов и систем человека. Из-за смещения позвонков при антелистезе происходит сдавление сосудов и спинного мозга (или корешков спинномозговых нервов). В результате их функции нарушаются, что приводит к ухудшению мозгового кровообращения и передачи нервных импульсов. Человек ощущает эти процессы в виде следующих симптомов:
- сильная головная боль, связанная с ишемией головного мозга (характерно для антелистеза второго и третьего позвонков, обозначаемых С2 и С3 соответственно);
- головокружение, вплоть до потери сознания (С3, С4, С5);
- нарушения сна (С3, С4, С5);
- быстрая утомляемость (С3, С4, С5);
- симптомы, схожие с признаками ОРВИ: ринит, тонзиллит, ларингит (С3, С4, С5);
- снижение слуха (С3, С4, С5);
- косоглазие (С3, С4, С5);
- снижение чувствительности или онемение задней поверхности шеи, плеч и рук (С4, С5).
Лечение
Антелистез шейного отдела позвоночника – это достаточно опасная патология. Отсутствие должного лечения может привести к серьёзным последствиям, вплоть до инвалидности или даже летального исхода (например, из-за перекрытия сонной артерии).
Консервативное лечение направлено на уменьшение симптоматики и возвращение пациента к активному образу жизни. Это эффективно лишь на первых стадиях заболевания, когда смещение позвонков ещё не доставляет выраженного дискомфорта пациенту. Оно может включать в себя:
- лечебный массаж;
- лечебную физкультуру, направленную на укрепление мышц и связок шеи;
- физиотерапию;
- ношение специального бандажа.
Из лекарственных препаратов применяются НПВС (обезболивающие и противовоспалительные), хондропротекторы (восстанавливающие хрящевую ткань), миорелаксанты (снимающие судороги и мышечный спазм), общеукрепляющие витаминные комплексы (особенно эффективен приём витаминов группы В). При нестерпимой боли могут быть использованы наркотические анальгетики и лечебная блокада с применением анестетиков и стероидных противовоспалительных средств.
Все методы консервативного лечения определяются лечащим врачом индивидуально в каждом конкретном случае. Если они не приносят желаемого результата, требуется хирургическое вмешательство. При диагностике заболевания второй степени и выше рекомендуется сразу начать с операции. Только она может гарантировать человеку восстановление. Смещённые позвонки фиксируются в правильном положении с помощью титановых пластин или кейджей (имплантов, заполняемых костеобразующим материалом).
После операции следует длительный период реабилитации, в среднем он занимает около двух месяцев. В течение этого времени пациенту рекомендуется:
- исключить активные физические нагрузки;
- не проводить массаж прооперированной области, грязетерапию, электрофорез;
- носить бандаж во время привычных нагрузок (ходьба, вождение автомобиля, занятие домашними делами);
- пересмотреть образ жизни для профилактики дальнейших проблем с позвоночником.
Профилактика
В целях профилактики антелистеза необходимо следить за осанкой, придерживаться здорового образа жизни, избегать чрезмерных физических нагрузок, пользоваться ортопедическим матрасом и подушкой. Эти простые правила помогут предотвратить и другие заболевания позвоночника.

Комментарии